専門医制度
2025(R7)年度 腎臓専門医更新のためのセルフトレーニングの解答と解説
腎臓専門医の皆様へ(2026年1月13日付)
昨年11/11付で掲載いたしました2025(R7)年度セルフトレーニング問題の解答と解説を掲載いたします。
採点結果は3月下旬頃(遅れる場合もございます)に「郵送」いたします。
ご不明な点がありましたら,担当の西村(nishimura@jsn.or.jp)までご連絡下さい。
※手数料2,000円はいかなる場合も返金出来かねますこともご了承下さい。
教育・専門医制度委員会
委員長:和田健彦
委員:西裕志、片桐大輔
出題者(五十音順): 赤井靖宏、旭 浩一、臼井丈一、遠藤知美、大橋 温、澤 直樹、志水英明、清水美保、竹田徹朗、田中健一、田中哲洋、土井研人、西野友哉、廣村桂樹、松尾七重、安田日出夫、山田俊輔
水分や電解質の調節に関して正しい組合せはどれか。
解答:d (3,4)
| 1 | 近位尿細管でのナトリウム再吸収の低下は,遠位尿細管でのナトリウム再吸収の増加により補われ,両者の比はほぼ一定である. |
| 2 | レニン・アンジオテンシン・アルドステロン系は腎臓の血流量を増加させる. |
| 3 | レニン・アンジオテンシン系阻害薬の長期使用時に血圧コントロールが不良になる原因としてアルドステロン・ブレークスルーがある。 |
| 4 | コペプチンの血中濃度はバソプレシンの血中濃度の代替マーカーとして利用できる. |
| 5 | エンドセリン-1はエンドセリンA受容体を介して体液量を減少させる. |
| a (1,2) | b (1,5) | c (2,3) | d (3,4) | e (4,5) |
解説
1. 誤り.近位尿細管でのナトリウム再吸収の低下が遠位尿細管で補われる場合もあるが,後者の効率はアルドステロンや体液量,電解質濃度に依存して変動する.
2. 誤り.アンジオテンシンIIは血管収縮作用を持ち腎血流を減少させる.
3. 正しい.レニン・アンジオテンシン系阻害薬の長期使用時にアルドステロンの産生亢進によって血圧コントロールが不良になる現象が知られている.アルドステロン合成酵素阻害薬が難治性高血圧の新規治療薬として注目されている(Laffin:New Engl J Med 2025).
4. 正しい.コペプチンはバソプレシン前駆体のC末端断片で安定性が高く,バソプレシンの代替マーカーとして利用できる.尿崩症の鑑別診断では,高張食塩水で刺激し血漿コペプチンを測定する方法が水制限試験より検査特性に優れる(Fenske: New Engl J Med 2018).
5. 誤り.エンドセリン-1はエンドセリンA受容体を介して強力な血管収縮作用をもち,腎血流を減少させて,体内の水とナトリウムの貯留を促し体液量を増加させる.一方でエンドセリンB受容体を介した場合にはその拮抗作用を示す。実際、エンドセリン受容体拮抗薬のDKDに対する初期の臨床試験では,心不全増加が認められた(ASCEND Study Group: J Am Soc Nephrol 2010)
(2)
微小変化型ネフローゼ症候群の原因となる最近発見された自己抗体はどのタンパクを認識するか。主なものを1つ選べ。
解答:d
| a | ポドカリキシン |
| b | オクルーディン |
| c | メガリン |
| d | ネフリン |
| e | カドヘリン |
解説
近年,新たに微小変化型ネフローゼ症候群の原因の1つとして抗ネフリン抗体の存在が報告され、抗体の検出と再発や寛解が関連することも示された。移植後再発した巣状分節性糸球体硬化症の患者からも抗ネフリン抗体が検出されており、病因論としても微小変化型ネフローゼ症候群と巣状分節性糸球体硬化症を連続した疾患として考えられるようになってきている。
(3)
59歳、女性。10年前から発作性夜間ヘモグロビン尿症で当院血液内科で加療中の患者。
1週間前の定期通院日には、血清クレアチニン 0.50 mg/dL、eGFR 95 mL/min/1.73 m2だったが、4日前から下痢を認め、経口摂取不良となったため、本日救急外来を受診した。血清クレアチニン 10.19 mg/dL、eGFR 4.0 ml/min/1.73 m2のため、腎臓内科入院となった。
入院時、腹部超音波で水腎症・水尿管症を認めなかった。
既往歴: 特記事項なし。家族歴: 特記事項なし。
身体所見: 両側下腿に浮腫を認めない。皮膚ツルゴール低下を認めない。
現症: 身長 155 cm、体重 51.0 kg (平時は52 kg)、体温 36.0℃、脈拍 80 /分、整、血圧 120/60 mmHg、呼吸数 14 /分、SPO2 98%、室内気
尿所見: 蛋白1+、0.5 g/gCr、糖 (-)、潜血 3+、尿沈渣 赤血球 1-4 /HPF、尿中α1ミクログロブリン 9.4 mg/L
血液学所見: 赤血球 285万/μL、Hb 9.3g/dL、Ht 28.0%、白血球 8000/μL、血小板 18.1万/μL
血液生化学所見: 総蛋白 6.8 g/dL、アルブミン 3.9 g/dL、尿素窒素 90 mg/dL、クレアチニン 10.19 mg/dL、eGFR 4.0 ml/min/1.73 m2、尿酸 8.0 mg/dL、LD 1637 U/L、ハプトグロビン <10 mg/dL、Na 140 mEq/L、K 4.9 mEq/L、Cl 104 mEq/L、Ca 8.5 mg/dL、P 5.5 mg/dL 免疫血清学所見: CRP 0.93 mg/dL、MPO-ANCA 陰性、PR3-ANCA 陰性
入院翌日に施行した腎生検所見を示す。(A: Periodic acid-Schiff染色 400倍、B: プルシアンブルー染色 200倍)。本症例の診断はどれか。正しいものを1つ選べ。
解答:e
| a | 急性間質性腎炎 |
| b | 血栓性微小血管症 |
| c | 顕微鏡的多発血管炎 |
| d | 脱水による腎前性腎機能障害 |
| e | 発作性夜間ヘモグロビン尿症による急性尿細管障害 |
解説
発作性夜間ヘモグロビン尿症は、グリコシルホスファチジルイノシトール(GPI)の減少、欠損により、補体制御蛋白を赤血球表面に保持出来ないため、感染などの補体活性化時に、補体による溶血が起きる疾患である。日常臨床の中で遭遇する可能性は乏しいかもしれないが、発作性夜間ヘモグロビン尿症の43%に急性腎障害を有する報告があり、知っておく必要がある。また急性尿細管障害の原因は、溶血による鉄の沈着とそれに伴う免疫反応が原因で、プルシアンブルー染色で鉄を染めることで診断可能である。
a. 尿中α1ミクログロブリンは高値でなく、腎生検所見も間質領域に単核球浸潤を認めておらず、急性間質性腎炎ではないため、誤答である。
b. LDが高値でハプトグロビンが感度以下になるなど、溶血性貧血は生じているが、血小板の減少を認めず、血栓性微小血管症ではないため、誤答である。
c. 尿潜血は陽性だが尿中赤血球を認めず、血尿ではなくヘモグロビン尿であること、半月体を認めないこと、ANCAが陰性であることなどより、顕微鏡的多発血管炎ではないため、誤答である。
d. 下痢と摂取不良のエピソードはあるが、体重変化は軽微で、血圧低下や血液濃縮所見を認めない。腎前性障害単独では説明困難である。
e. 正答である。
(4)
ADTKD(常染色体顕性尿細管間質性腎疾患)の原因遺伝子として正しくないものはどれか。1つ選べ。
解答:d
| a | uromodulin(UMOD) |
| b | mucin 1(MUC1) |
| c | renin(REN) |
| d | type IV collagen α5(COL4A5) |
| e | hepatocyte nuclear factor 1 beta(HNF1B) |
解説
ADTKD(常染色体顕性尿細管間質性腎疾患)は、以前は髄質嚢胞性腎疾患 (MCKD)や家族性若年性高尿酸血症性腎症 (FJHN)などと呼ばれていたが、現在は原因遺伝子によって分類され、包括的にADTKDという名称が用いられている。家族歴があることが多い一方で、約15%の症例では突然変異による発症もみられる。初期には尿所見異常が乏しく、尿細管での尿濃縮能力低下のために多飲多尿や夜間頻尿を認めることがある。これまでに複数の責任遺伝子が特定されており、異常なタンパク質が尿細管細胞内に蓄積することで細胞のストレスや障害を引き起こすと考えられている。UMOD (uromodulin)はADTKDの最も一般的な原因遺伝子の一つで、異常なウロモジュリンの沈着が腎障害や高尿酸血症・痛風を引き起こす(aはADTKDの遺伝子として正しい)。
MUC1 (mucin 1)遺伝子のフレームシフト変異などにより異常なムチン1タンパク質が細胞内に蓄積し、ADTKDを引き起こす(bはADTKDの遺伝子として正しい)。
異常なレニン(REN)の蓄積も腎障害を引き起こし、貧血や低血圧を伴うことがある(cはADTKDの遺伝子として正しい)。
HNF1B (hepatocyte nuclear factor 1 beta)の変異は腎性尿崩症、泌尿生殖器系の異常、糖尿病などを伴うことがある(eはADTKDの遺伝子として正しい)。
COL4A5(type IV collagen α5) はAlport症候群の責任遺伝子である(dが正解)。
(5)
尿路上皮癌のリスクに基づく血尿の分類で高リスク群に該当する組み合わせはどれか。2つ選べ。
解答:a・d
| a | 65歳男性。尿中赤血球 50/HPF |
| b | 45歳女性。尿中赤血球5-10/HPF。シクロフォスファミドの投与歴あり |
| c | 55歳男性。尿中赤血球11-25/HPF |
| d | 55歳女性。尿中赤血球5-10/HPF。喫煙歴あり |
| e | 40歳男性。尿中赤血球11-25/HPF |
解説
血尿診断ガイドライン2023に提示された「血尿診断アルゴリズム」についての知識を問う。尿沈渣において非糸球体性血尿が認められた場合は,尿路悪性腫瘍や結石などの泌尿器科疾患を念頭に,泌尿器科への紹介が勧められる。顕微鏡的血尿を呈する泌尿器科疾患の中で最も注意すべきは尿路上皮癌であり,上記アルゴリズムでは尿路上皮癌のリスク別に行うべき検査について提示されている。低リスク群(男<40 歳/女<50 歳,尿中赤血球5~10 個/HPF,危険因子*なし,のすべてを満たす),中リスク群(男40~59 歳/女50~59 歳,尿中赤血球11~25 個/HPF,1 つ以上の危険因子*を有する,のいずれかに該当),および高リスク群(男女とも≧60 歳,尿中赤血球>25 個/HPF,喫煙歴あり,肉眼的血尿の既往,のいずれかに該当)に分類し,それぞれに対して行うべき検査が提示されている。(*有害物質へのばく露,膀胱刺激症状,フェナセチンなどの鎮痛薬多用,骨盤放射線照射の既往,シクロホスファミドの投与歴,尿路への異物の長期留置)。a, dは高リスク群に、b, c, eは中リスク群に分類される。高リスク群の対応方針は「膀胱鏡検査+CT urography+尿細胞診」となる。
参考文献:血尿診断ガイドライン改訂委員会編
II.血尿診断アルゴリズム
血尿診断ガイドライン2023 ライフサイエンス社 2023年
(6)
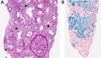
正常分娩で出生した7歳女児。X-1年に学校検診で尿潜血3+を指摘され、X年には尿潜血、尿蛋白の指摘をされ、当院を受診した。尿潜血3+、尿蛋白 455 mg/gCr。腎生検所見を提示する(図1)。
本疾患について正しい組み合わせはどれか。
解答:e
| 1 | 血中のC3は全例で低値を示す。 |
| 2 | 補体制御蛋白や遺伝子の異常の証明が診断に必須である。 |
| 3 | 免疫蛍光(IF)診断にはC3の染色性がその他より2段階強いことが必要である。 |
| 4 | ステロイドとミコフェノール酸モフェチルの併用療法が海外では推奨されている。 |
| 5 | 補体B因子阻害薬イプタコパンが保険適用となった。 |
| a (1,2,3) | b (1,2,5) | c (1,4,5) | d (2,3,4) | e (3,4,5) |
解説
近年、自然免疫における補体の役割が明らかとなり、疾患病態の解明や抗補体薬の臨床応用が進んでいる。希少疾患であるC3腎症は、診断のために腎生検が必要であり、IFでC3沈着が他の免疫グロブリンに比べて、著しく強い陽性所見を呈する。C3やCH50の低下を伴うことは多いものの、これらは診断基準に含まれていない。同様に、補体活性化や補体制御異常の証明も診断には必須ではない。治療としてステロイドとMMFの併用療法が有効であると報告されている1)。1)さらに近年、経口の補体B因子阻害剤であるiptacopanの蛋白尿減少効果が報告され2)、C3腎症に対し保険適用となった。
参考文献:1) Caravaca-Fontán F, Díaz-Encarnación MM, Lucientes L, et al; Spanish Group for the Study of Glomerular Diseases GLOSEN. Mycophenolate Mofetil in C3 Glomerulopathy and Pathogenic Drivers of the Disease. Clin J Am Soc Nephrol. 2020 Sep 7;15(9):1287-1298.
2) Nester CM, Eisenberger U, Karras A, et al. Iptacopan Reduces Proteinuria and Stabilizes Kidney Function in C3 Glomerulopathy. Kidney Int Rep. 2024 Oct 28;10(2):432-446.
(7)
Fibrillary glomerulonephritis(FGN)に関する記述で、正しいものはどれか。1つ選べ。
解答:e
| a | コンゴーレッド染色陽性である。 |
| b | IgGよりもIgMが優位に沈着する。 |
| c | 線維状沈着物はTamm-Horsfallタンパクに富む。 |
| d | 電子顕微鏡で30〜50nmの分枝性線維が観察される。 |
| e | DNAJB9はFGNに特異的なマーカーとして有用である。 |
解説
本問は、比較的稀な糸球体疾患であるFibrillary glomerulonephritis(FGN)について、その組織学的特徴および診断マーカーに関する理解を問う問題である。FGNは非アミロイド性の線維状構造物が糸球体に沈着する疾患であり、アミロイド腎症やその他の沈着性腎炎との鑑別が重要である。正答は「e. DNAJB9はFGNに特異的なマーカーとして有用である」である。DNAJB9は近年、FGNに特異的に発現する分子として同定され、免疫染色により高感度・高特異度に診断可能であるためFGNの診断に用いられるようになった。
FGNはアミロイドとは異なり、コンゴーレッド染色陰性であるため、選択肢aは誤りである。
FGNでは主にIgGが優位に沈着し、とくにIgG4サブクラスが優勢であることが多いため、選択肢bも誤りである。
Tamm-Horsfallタンパクは主に尿細管に存在するタンパクであり、FGNの線維状構造物には含まれないため、選択肢cは誤りである。
FGNの電子顕微鏡所見では、直径15〜25nmの非分枝性線維構造が糸球体基底膜やメサンギウム領域に沈着していることが特徴である。分枝性でより太い線維(30〜50nm)を示すのはイムノタクトイド腎症との鑑別ポイントとなる。このため、選択肢dも誤りである。
(8)
抗好中球細胞質抗体(ANCA)関連腎炎に対する選択的C5a受容体拮抗薬アバコパンの最も注意するべき副作用はどれか。1つ選べ。
解答:b
| a | 貧血 |
| b | 肝機能障害 |
| c | 急性腎障害 |
| d | 血管性浮腫 |
| e | 横紋筋融解症 |
解説
ANCA関連血管炎に対する治療薬であるアバコパンが国内販売開始から3年が経過した。添付文書に記載のある重大な副作用として、肝機能障害と重篤な感染症がある。胆管炎様肝障害(胆管うっ滞型肝障害)の報告もあり、肝機能障害の発症機序、リスク因子、発症時期の解明が今後の課題である。
(9)
68歳男性。糖尿病性腎症によるCKD G3bA2(eGFR 37 mL/min/1.73m²、尿アルブミン300 mg/gCr)で通院中。家庭血圧平均は148/86 mmHg。ARB(ロサルタン100 mg)+長時間作用型Ca拮抗薬(アムロジピン5 mg)を内服している。推定食塩摂取量は7 g/日。起立性低血圧や高K血症はない。JSH2025に基づくと、この症例の家庭血圧降圧目標として最も適切なのはどれか。1つ選べ。
解答:c
| a | 135/85 mmHg 未満 |
| b | 130/80 mmHg 未満 |
| c | 125/75 mmHg 未満 |
| d | 120/80 mmHg 未満 |
| e | 110/70 mmHg 未満 |
解説
JSH2025では、CKD合併例(特に蛋白尿A2以上)では厳格な降圧管理が推奨されており、家庭血圧の目標は125/75 mmHg未満に設定された(診察室血圧では130/80 mmHg未満)。ただし高齢者や起立性低血圧例では過度な降圧に注意が必要である。
(10)
糖尿病関連腎臓病に対して国際的に提唱されている治療の四本柱(Four Pillars)に含まれていない薬剤はどれか.1つ選べ。
解答:b
| a | レニン・アンジオテンシン系阻害薬 |
| b | DPP-4阻害薬 |
| c | SGLT2阻害薬 |
| d | GLP-1受容体作動薬 |
| e | 非ステロイド型選択的MR拮抗薬 |
解説
心腎保護効果が大規模臨床試験で報告されている4薬剤群(いわゆる"四本柱:Four Pillars")の糖尿病関連腎臓病治療薬は,レニン・アンジオテンシン系阻害薬,SGLT2阻害薬,GLP-1受容体作動薬,非ステロイド型選択的MR拮抗薬であり、DPP-4阻害薬は含まれていない。
(11)
ヨード造影剤投与後急性腎障害に関して正しいのはどれか。1つ選べ。
解答:b
| a | eGFRが30 mL/min/1.73m²以上であれば、造影剤の経動脈的投与後の急性腎障害のリスクは低い。 |
| b | eGFRが30 mL/min/1.73m²以上の場合でも造影剤使用前にビグアナイドは休薬する。 |
| c | eGFRが60 mL/min/1.73m²未満の患者に経静脈造影CTを行うのは禁忌である。 |
| d | レニン・アンジオテンシン系阻害薬は造影剤投与後の急性腎障害のリスク因子である。 |
| e | 造影剤腎症予防には利尿薬(フロセミド)を用いた強制利尿が有用である。 |
解説
ヨード造影剤後のAKIのリスク評価を問う問題。腎障害患者におけるヨード造影剤使用に関するガイドライン2018では、経静脈投与の場合はeGFR 30 mL/min/1.73m²未満、経動脈投与の場合はeGFR 60 mL/min/1.73m²未満がAKIのリスクとされている。ビグアナイドは乳酸アシドーシスのリスクがあり、わが国のビグアナイド系糖尿病薬の添付文書の「重要な基本的注意」に「検査前は本剤の投与を一時的に中止すること(ただし、緊急に検査を行う必要がある場合を除く)」と記載されている.
レニン・アンジオテンシン系阻害薬が ヨード造影剤投与後AKIのリスクを増加させるエビデンスは明らかではない.
尿量確保は予防効果の可能性はあるが、フロセミド自体に予防効果があるとは考えられていない。
(12)
血清シスタチンC濃度について正しいのはどれか。1つ選べ。
解答:d
| a | 溶血の影響を受ける |
| b | 急性腎障害診断基準に含まれる |
| c | 甲状腺機能亢進により濃度が低下する |
| d | ステロイド投与により濃度が上昇する |
| e | 高度腎機能低下時にクレアチニンよりもGFRを反映する |
解説
a. シスタチンCは血清中で安定しており、溶血や黄疸、リポ血清の影響をほとんど受けない。臨床検査上の利点の一つである。
b. 現行のAKI診断基準(KDIGO 2012)は「血清クレアチニン」と「尿量」のみを使用。シスタチンCは補助指標として検討されているが、診断基準には含まれない。
c. 甲状腺機能亢進で上昇する。
d. ステロイドによりシスタチンCの産生が促進され、血中濃度が上昇する。よって正解。
e. シスタチンCは中等度までの腎機能低下でGFRをよく反映するが、高度腎機能低下(eGFR < 15 mL/min/1.73m2程度)ではクレアチニンと同等またはそれ以下となることがある。
(13)
GLP-1受容体作動薬セマグルチドの腎疾患アウトカムに対する作用が検証されたFLOW試験について正しいのはどれか。1つ選べ。
解答:c
| a | 被験者にアジア人は含まれていない。 |
| b | 主要評価項目にはeGFRのベースラインから30%以上低下が含まれている。 |
| c | 糖尿病を合併しない患者は試験対象に含まれなかった. |
| d | SGLT-2阻害薬非使用のサブグループでは有用性が証明されなかった. |
| e | 主要評価項目のうち腎特異的コンポーネントでは効果が確認できなかった. |
解説
a. × 被験者のうち、アジア人が23.9%を占めている.
b. × 主要評価項目には腎不全の発症(透析、移植、またはeGFR 15 mL/min/1.73m 2未満への低下)、eGFRのベースラインから少なくとも50%の低下、腎関連もしくは心血管疾患に起因する死亡が含まれている。
c. ○ 登録基準に「2型糖尿病」が含まれている.
d. × SGLT-2阻害薬併用の有無に関わらず効果が確認された.
e. × 腎特異的アウトカムでも有用性が確認された.
参考文献:Perkovic V, Tuttle KR, Rossing P, FLOW Trial Committees and Investigators, et al.: Effects of semaglutide on chronic kidney disease in patients with type 2 diabetes. N Engl J Med 2024; 391: 109-121
(14)
米国USRDSの大規模データベース内の2型糖尿病を有する透析患者において、GLP-1受容体作動薬使用に関連して観察された影響として正しいのはどれか。1つ選べ。
解答:b
| a | 死亡率は変化しなかった. |
| b | 体重とBMIが減少した. |
| c | 急性膵炎の発症が増加した。 |
| d | 糖尿病網膜症の発症が低下した. |
| e | 甲状腺髄様がんの発症が増加した. |
解説
最近CJASNに報告された米国の透析患者大規模コホートのリアルワールド研究の結果である.
a. × GLP-1受容体作動薬使用群で死亡率は有意に低かった.
b. ○ GLP-1受容体作動薬使用群で体重とBMIの減少度は有意に大きかった.
c. × 急性膵炎の発症率に有意差はなかった.
d. × 糖尿病網膜症の発症率は高かった.
e. × 甲状腺髄様がんの発症に有意差はなかった。
参考文献:Orandi BJ, Chen Y, Li Y, et al. : GLP-1 receptor agonist outcomes, safety, and BMI change in a national cohort of dialysis patients. Clin J Am Soc Nephrol 2025; 20(8): 1100-1110. DOI: 10.2215/CJN.0000000750
(15)
本邦の新規透析導入患者の現状に関する記載のうち正しいものはどれか。2つ選べ。
解答:a e
| a | 導入患者の平均年齢は上昇している |
| b | 若年患者の導入患者数は増加している |
| c | 新規透析導入患者数は増加し続けている |
| d | 糖尿病性腎症による導入患者数は増加し続けている |
| e | 厚生労働省・腎疾患対策検討会は2028年までに年間新規導入患者数を35,000人以下にする目標を掲げている |
解説
本邦の新規透析導入患者の現状に関する最新の知識を問う。
a. 正しい。
b. 高齢者の導入患者数は増加しているが、若年患者は減少している。誤答。
c. 新規導入患者数はここ数年減少の傾向である。誤答。
d. 糖尿病性腎症による導入患者は減少の傾向である。誤答。
e. 正しい。
(16)
高齢の患者に対する透析で正しいものはどれか。1つ選べ。
解答:c
| a | 85歳の患者が透析導入を拒否したため、苦しくなったら受診するように伝えて終診とした。 |
| b | 透析導入を検討している70歳の患者に、腎代替療法選択外来で血液透析・腹膜透析について説明し、移植については説明しなかった。 |
| c | 血液透析導入を検討している80歳の患者が、心エコーにて左室収縮機能25%であったため、長期留置カテーテルや動脈表在化術を検討した。 |
| d | 透析導入が必要な82歳の患者が、長谷川式認知症スケールで18点だったため、腹膜透析は適応ではないと考え説明しなかった。 |
| e | 高齢の透析患者ではシャントトラブルが起こりやすいため、なるべく大きな吻合径でシャントを作成する。 |
解説
a. × 透析の見合わせ・非導入に関しては、患者と医療者のみではなく、患者・家族・多職種医療者が十分な協議を重ねたうえで方針を決定する必要がある。
b. × 我が国の献腎移植の待機期間は長いが、移植については説明すべきである。生体腎移植ドナーは20歳以上70歳以下が目安とされている。
c. ○ 高齢者は心血管疾患合併も多く、心機能が低下している患者も多い。そのような患者に内シャントは心負荷を増大させるため、動脈表在化かカフ型長期留置カテーテルが選択される。
d. × 認知機能の低下した患者でも、家族や社会資源を利用したassisted PDを選択するなど、腹膜透析は可能である。
e. × 高齢者は動脈硬化が進みシャント閉塞などのアクセストラブルを起こしやすいとされるが、過大シャントによるスティール症候群のリスクも高いため、シャント吻合径については慎重に検討する。
参考文献:透析の開始と継続に関する意思決定プロセスについての提言作成委員会.透析の開始と継続に関する意思決定プロセスについての提言.透析会誌 2020; 53 (4): 173-217
(17)
血液透析(HD)、血液透析濾過(HDF)について正しいのはいずれか。1つ選べ。
解答:a
| a | 間欠的血液透析濾過は血液透析に比較して、生命予後が優れている可能性がある。 |
| b | オンラインHDFでは、血液透析に比較してアルブミンの喪失が少ない。 |
| c | 通常の血液透析では、内部濾過が起こることは稀である。 |
| d | ポリアクリロニトリル膜の表面は陽性に荷電している。 |
| e | 本邦のオンラインHDFでは後希釈が主流である。 |
解説
a. 本邦における検討にて、高用量の間欠的血液透析濾過(I-HDF)を行っている集団と、通常の血液透析を行っている集団を傾向スコアマッチングで患者背景を揃えたうえで比較を行ったところ、I-HDFを行っている集団の方が生命予後は良いことが明らかになっている。参考文献:Abe et al. Renal Replacement Therapy 2024,10(23)
b. オンラインHDFではアルブミンの喪失が問題となることがある。
c. 近年では内部濾過促進型の血液透析も行われるようになって起きており、血液透析における内部濾過は重要な現象である。
d. ポリアクリロニトリルでは表面が陰性に荷電している。ACE阻害薬を服用中の患者にポリアクリロニトリル膜の使用は禁忌である。これは表面の陰性荷電とACE阻害薬の相互作用でブラジキニンの血中濃度が上昇し、ショックや血圧低下を引き起こす可能性があるためである。
e. 欧米のオンラインHDFでは後希釈が主流であるが、本邦では前希釈が主流である。
(18)
本邦の透析患者で報告されている骨折の危険因子として誤っているのはどれか。2つ選べ。
解答:a d
| a | 男性 |
| b | 糖尿病 |
| c | 高ALP(アルカリホスファターゼ)血症 |
| d | 高BMI |
| e | 骨折の既往 |
解説
骨折は透析患者集団の高齢化とともに益々増加し、その予防は重要な課題である。
a. 一般に女性の方が男性よりも骨折リスクが高い。透析患者においても、女性は骨折の危険因子であることがJRDRのデータによって示されている(Komaba H et al. Kidney Int Rep. 2024 Jul 18;9(10):2956-2969. )。よって誤り。
b. 糖尿病は酸化ストレスなど多くの危険因子が集積し、骨質の低下や骨密度低下を介して骨折リスクを上昇させる。日本人透析患者においても、糖尿病は骨折の独立した危険因子である(Wakasugi M et al. J Bone Miner Metab. 2013 May;31(3):315-21. )。正しい。
c. 高ALP血症は、PTHとは独立した日本人透析患者の骨折リスクである(Maruyama Y et al. Kidney360. 2025 Mar 1;6(3):400-411. )。正しい。
d. 低BMIは透析患者の骨折の危険因子であることがJRDRのデータによって示されている(Komaba H et al. Kidney Int Rep. 2024 Jul 18;9(10):2956-2969. )。よって誤り。
e. 骨折既往は次の骨折の強力な危険因子であり、骨折ドミノを防ぐために、骨折リスクが高い患者を同定して骨折予防に努めることが重要である。正しい。
(19)
急性尿細管間質性腎炎(Acute Tubulointerstitial Nephritis: ATIN)の病態と病理について正しいものはどれか。
解答:d
| 1 | プロトンポンプ阻害薬(PPI)によるATINでは高頻度に非乾酪性類上皮肉芽腫が認められる。 |
| 2 | 免疫チェックポイント阻害薬(ICI)によるATINは、主にII型アレルギー反応を介して発症する。 |
| 3 | サルコイドーシスに伴う腎病変の主座は、糸球体ではなく尿細管間質である。 |
| 4 | TINU症候群の腎機能予後は一般的に良好である。 |
| 5 | 抗尿細管基底膜(TBM)抗体型間質性腎炎は、ファンコニ症候群を呈することが多い。 |
| a (1,2) | b (1,5) | c (2,3) | d (3,4) | e (4,5) |
解説
1. 誤り。薬剤性ATINで肉芽腫を形成することはあるが、PPIによるATINで特徴的なのは、好酸球浸潤を伴う細胞浸潤である。非乾酪性類上皮肉芽腫を認めた場合は、第一にサルコイドーシスを鑑別する。
2. 誤り。ICI関連腎障害の病態は、T細胞の過剰な活性化によるIV型(遅延型)アレルギー反応類似の機序と考えられている。II型(細胞傷害型)アレルギー反応ではない。
3. 正しい。サルコイドーシスの腎病変は、腎間質における非乾酪性類上皮肉芽腫の形成と、それに伴う尿細管間質性腎炎が最も典型的である。高カルシウム血症による腎障害も合併しうる。糸球体病変(膜性腎症など)を呈することもあるが、頻度は低い。
4. 正しい。TINU(Tubulointerstitial Nephritis and Uveitis)症候群は、特発性のATINに両側性の急性前部ぶどう膜炎を合併する疾患で、若年女性に好発する。ぶどう膜炎はATINの発症と同時か、数ヶ月遅れて出現することが多い。腎機能は一般的に予後良好で、多くはステロイド治療によく反応し、無治療でも自然軽快することがある。
5. 誤り。抗TBM抗体型間質性腎炎は、尿細管基底膜に対する自己抗体によって生じる稀な疾患であり、急速進行性の腎不全を呈することが多い。ファンコニ症候群(近位尿細管の包括的な機能障害)を呈するのは、デント病、ミトコンドリア異常症、II型RTAなどであり、抗TBM抗体型間質性腎炎の典型的な臨床像ではない。
したがって、正しい組み合わせはd (3,4)である。
(20)
50代男性 うつ病で通院中
自宅で倒れているところを家人に発見され救急搬送。近くに不凍液の空ボトルが置いてあった。
バイタル 血圧 110/68 mmHg, 心拍数120 bpm, 呼吸数28 回/分, 呼びかけに反応するも従命不能
血液検査 Na 130 mEq/L, Cl 97 mEq/L, Cr 1.4 mg/dL,血糖 110 mg/dL、浸透圧ギャップ 20
血液ガス分析 p H 7.20 mmHg, PCO2 30 mmHg, HCO3 11.3 mol/L, 乳酸 正常
本例で適切な処置はどれか。
解答:b
| 1 | 血液透析 |
| 2 | メタノール投与 |
| 3 | ビタミンB12投与 |
| 4 | レトロゾール投与 |
| 5 | ホメピゾール投与 |
| a (1,2) | b (1,5) | c (2,3) | d (3,4) | e (4,5) |
解説
本症例は、不凍液(通常はエチレングリコールが主成分)の摂取によるエチレングリコール中毒である。エチレングリコール中毒は放置すると重篤な合併症を引き起こす重篤な病態であり、早期診断と迅速な対応が重要である。エチレングリコールは肝臓で代謝されると有毒なシュウ酸とグリコール酸に代謝される。治療の基本原則は①代謝を抑える、②体内からの除去である。①代謝を抑えるにはアルコール脱水素酵素:Alcohol Dehydrogenase(ADH)阻害薬であるホメピゾール投与であり、②体内からの除去は血液透析により行う。エタノールはホメピゾールの代替として使用されることもあるが、メタノールは有害アルコールのため禁忌、レトロゾールは乳がんの治療薬として使用されるアロマターゼ阻害薬であり正しくない。